垂体瘤,无需“脑洞大开”,毕节市中医医院神经外科为您“无伤切除”
一提到垂体瘤手术,许多人不禁会联想到开颅手术,瑟瑟发抖。然而,随着微创技术的不断发展,近些年兴起的神经内镜微创技术成为一项“新利器”,无需“脑洞大开”,还能降低手术费用、减少手术并发症、促进术后恢复。近日,我院神经外科团队在麻醉科的通力合作下,再次独立完成“神经内镜下经鼻腔-蝶窦垂体大腺瘤切除术”,术后患者恢复良好,目前已痊愈出院。
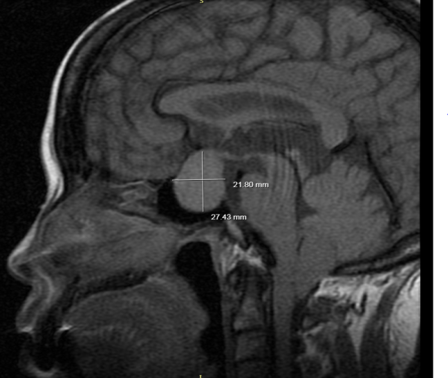
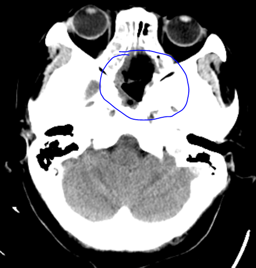
患者女性,50岁,因“头昏、视物不清2年,加重10+天”入院。入院完善头部X线计算机体层(CT)平扫:蝶鞍扩大并其内占位灶,建议MRI平扫+动态增强检查。双侧上颌窦及左侧筛窦炎。进一步完善垂体MRI平扫+增强:蝶鞍区扩大,垂体窝内见斑片状等T1、等稍短T2信号,形态欠规则,冠状位示病灶呈“雪人征”,测量其大小约26mm×27mm,垂体柄显示不清晰,视交叉受压上抬移位,鞍底塌陷,增强扫描可见病灶轻度强化,强化尚均匀。考虑垂体大腺瘤,建议结合病理检查。

张海主任医师(毕节市中医院党委书记)、徐全华主任医师(毕节市中医院院长)、龙天霖副主任医师、吴金桥副主任医师(神经内镜组)、管床医师陈龙住院医师,联合我院影像科、麻醉科等相关科室人员对患者病情进行综合讨论评估。
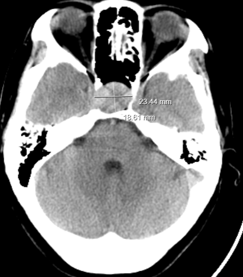
综合意见认为:肿瘤定位明确,有占位效应,见视交叉受压上抬移位,鞍底塌陷,患者目前有视力受损症状,为明确病变性质,解除颅内占位效应,需手术治疗,患者手术指征明确,征得患者及家属同意后,在麻醉科通力合作下为患者施行“神经内镜下经鼻腔-蝶窦垂体除术”,历经2小时10分钟后,手术顺利完成,术后恢复良好,视物不清症状改善,未出现相关术后并发症,患者于术后1周痊愈出院。

术前头颅核磁

术前头颅CT

术后复查头颅CT见肿瘤全切
疾病科普
垂体腺瘤(pituitary adenoma)是常见的良性肿瘤,人群发生率一般为1/10万。有的报告高达 7/10万。在颅内肿瘤中仅低于脑胶质细胞瘤和脑膜瘤约占颅内肿瘤的 10%,但在尸检中发现率为 20%~30%。近年来有增多的趋势。
垂体腺瘤主要从下列几方面危害人体:D垂体激素过量分泌引起一系列的代谢紊乱和脏器损害;肿瘤压迫使其他垂体激素低下,引起相应靶腺的功能低下;压迫蝶鞍区结构,如视交叉、视神经、海绵窦、脑底动脉、下丘脑、第三脑室,甚至累及额叶、题叶、脑干等,导致相应功能的严重障碍。
垂体腺瘤好发年龄为青壮年对病人生长、发育、劳动能力、生育功能有严重损害,并造成一系列社会心理影响。
19世纪末以来,人们对垂体瘤的认识不断深化,特别是 20 世纪70年代以来,随着现代科学技术的突飞猛进,现代内分泌学、现代病理学、现代放射学、现代神经眼科学现代显微外科学的发展,对垂体腺瘤的临床和基础研究有了许多新进展,从早期仅能开颅手术切除币体腺瘤,到近50年来可经蝶手术,垂体腺瘤的治疗质量获得了显著提高。但社会进步和科学发展促使人们不断地追求更高的生存质量。
外科医生将减小手术创伤,同时尽可能地切除病变、减少复发、降低致残率、提高生存质量作为努力的方向,神经内镜技术的发展与逐步完善,正是科学技术发展的结果。当前神经内镜在神经外科领域发挥着越来越广泛的作用,其中内镜下经鼻蝶手术切除垂体腺瘤的技术已经比较成熟。
与传统的显微镜经蝶垂体腺瘤切除术比较,应用内镜治疗垂体腺瘤,可以利用鼻腔生理通道,不需要切开唇下或鼻内黏膜,也无需使用蝶窦牵开器,甚至术后可以不填塞油纱,从而将手术创伤降到最低。进一步减少了以往手术人路的创伤,扩大了病灶的显露增加了直观切除病变的机会,最大限度地保护了鼻腔的正常结构。
多角度内镜还可观察深部术野侧方的情况进行直视下操作,便于掌握肿瘤的切除情况,可以更多地切除肿瘤,减少对垂体和周围重要结构的损伤,且止血可靠,减少了术后出血的可能性,保证了手术的安全和彻底,提高了手术质量。术中结合超声、神经导航和激素水平监测,内镜下切除垂体腺瘤可获得更加令人满意的结果。
我科独立常规开展的“神经内镜下经鼻腔-蝶窦垂体瘤切除术”,微创简洁,为区域内患者提供极大便利。
毕节市中医医院神经外科为中国颅神经疾患诊疗协作组成员单位、超声无创评估颅内压中国多中心(ORIENT)分中心、清华品驰远程调控毕节市神经调控中心、省级临床优势专科建设单位,贵州省医学会神经外科学分会常委单位,毕节市医学会神经外科学分会主委单位。与国内外多家神经外科中心建立了长期技术合作关系。神经外科整体技术处于省内先进、本地区领先水平。
人员:主任医师2人,副主任医师4人,博士1人。学科技术骨干成员经历复旦大学华山医院(国家神经疾病医学中心)、空军军医大学西京医院(全军神经外科研究所)、北京天坛医院、北京协和医院等国内外顶尖神经外科中心进修学习,掌握帕金森病DBS手术、脑干病损手术等国际神经外科前沿技术,并承担省级、厅级科研项目多项,在《Brain Research》、《Journal of Pharmacological Sciences》《中华神经外科疾病研究杂志》等国内外发表文章及专著多部。
硬件:拥有本地区唯一德国莱卡高清神经外科荧光显微镜、德国蛇牌开颅动力系统、最新荷兰飞利浦大型血管造影DSA机。病房设有脑循环功能障碍治疗仪、亚低温治疗仪、颅内压监护仪等先进治疗监护设备。
收治病种
1
三叉神经痛、面肌痉挛、帕金森病、幻肢痛、癫痫、小儿脑瘫等;
2
颅内血管性疾病如脑出血、脑梗塞、蛛网膜下出血、颅内动脉瘤、动静脉畸形、烟雾病、动静脉瘘等;
3
颅脑及脊髓肿瘤如脑膜瘤、胶质瘤、听神经瘤、垂体瘤、脊膜瘤等;
4
脑积水、脑(脊)膜膨出、脑脓肿等;
5
周围神经病变等。
