七个小孔四个手术——毕节市中医医院肝胆外科联合普外科一次手术为患者解决大问题
近日,我院肝胆外科、普外科团队在麻醉科的通力合作下,独立开展腹腔镜下肝部分切除术 +腹腔镜下胆囊切除术 +腹腔镜下双侧腹股沟直疝无张力修补术,术后患者恢复良好,目前已痊愈出院。
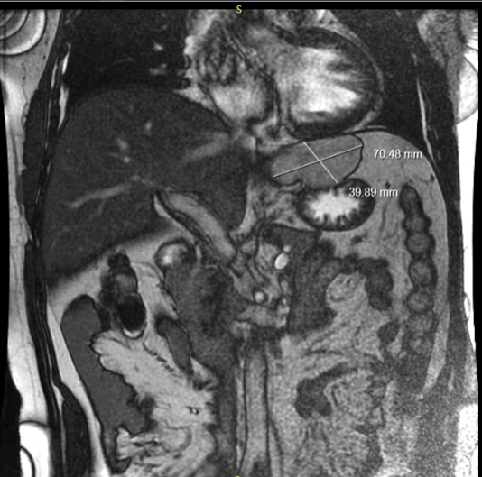
患者男性,49岁,因“发现双侧腹股沟区可复性包块21+年,再发17年”入院。入院阴囊及双侧腹股沟淋巴结B超示:双侧腹股沟疝。腹部B超示:肝左叶后方低回声团块,胆囊腔内异常回声:泥沙样结石或胆泥?上腹部X线计算机体层(CT)平扫(膈顶至脐),上腹部X线计算机体层(CT)增强扫描示:肝左外叶血管瘤考虑(5.9cm*7.1cm)。
肝胆外科卢支仪主任、普外科糜智华主任,副主任医师刘从悦、陈卫华主治医师、管床医师肖朋朋、影像科、麻醉科、普外科等相关科室人员对患者病情进行综合(MDT)讨论评估。患者手术指征明确,征得患者及家属同意后,在麻醉科通力合作下为患者施行了腹腔镜下肝部分切除术+腹腔镜下胆囊切除术 +腹腔镜下双侧腹股沟直疝无张力修补术。手术顺利完成,在麻醉科医师有效控制中心静脉压的支持下,整个手术过程失血量控制在50ml左右,手术时间仅用4小时30分钟;术后恢复良好。


图一为肝血管瘤
图二为病变胆囊及肝血管瘤


图一为为一侧修复疝气
图二为七处手术小切口
科普时间
腹腔镜肝切除小知识
众所周知,肝脏血供丰富,肝脏切除术中容易出血,手术风险大,许多基层医生将其视为手术禁区。腹腔镜微创肝切除,可以称得上是刀尖上芭蕾,需要很高的手术造诣。利用腹腔镜等医疗设备进行手术,术后仅留下微小疤痕,手术部位脏器的创伤小,对患者带来的创伤极小,患者术后恢复迅速。腹腔镜下肝切除成功运用,给患者带来福音。
腹腔镜肝部分切除术适应症
1
肝脏良性病变:肝内胆管结石、症状性血管瘤、有症状局灶性结节增生、腺瘤、多发性肝囊肿,病变局限于半肝内;
2
肝脏恶性肿瘤:包括原发性肝癌,转移性肝脏肿瘤及其他病变。
3
用于肝脏移植的活体供肝切除,包括左外叶、左半肝、右半肝;
4
不能排除恶性肿瘤的不确定病变。
1、腹壁切口小、手术后恢复快。传统的开腹手术腹部切口20-30厘米左右,会给病人造成较大的身体及心理的创伤,且术后疼痛明显。年老体弱或者害怕疼痛的病人选择微创的腹腔镜手术有较大优势。
2、术后疤痕小,对于外形有一定追求的病人,特别是年轻女性,往往会主动选择腹腔镜,可以最大程度上做到美观。
3、手术并发症相对较少。传统手术需要切断肝脏周围的韧带,从而把肝脏拉到肋骨下方,才能方便地做肝肿瘤切除。但腹腔镜下手术,可以尽可能减少肝脏周围韧带切断,减少手术后腹水的产生,也减少了术后肝脏与周围的粘连。
4、手术更精细,腹腔镜手术有摄像头的帮助,摄像头有放大作用,可以2倍左右观察血管等重要结构,从而帮助医生做更加精细的手术,而传统手术只能肉眼帮助手术。
5、腹腔镜肝癌切除术可以最大限度避免手法触摸肝脏,减少了对肿瘤的挤压及肿瘤进入血液引起播散的可能,也就减少了肿瘤血行转移引起的手术后的复发。
科室介绍
