骨伤科“颈”上添花——攻克食管型颈椎病难“咽”之隐
吞咽困难竟是颈椎病惹的祸?
食管型颈椎病,其常见症状——吞咽困难和咽喉部异物感,给患者的日常生活带来了极大的困扰。每一次吞咽,都像是一场艰难的战斗,食物在咽喉处的卡顿让患者苦不堪言;而那如影随形的异物感,更似一根刺,时刻刺痛着患者的身心。
近日,毕节市中医医院骨伤科成功为几名深受食管型颈椎病折磨的患者实施了颈椎手术,取得了满意的治疗效果,大大提升了患者的生存质量。
病例一
王奶奶,81岁,被食管型颈椎病纠缠了整整数十年。曾经热爱美食的她,面对满桌佳肴却只能望而却步,吞咽困难让她的饮食变得极为单一,身体也日益消瘦虚弱。为了缓解病痛,她尝试了各种保守治疗方法,从传统的推拿按摩到各类药物治疗,甚至还尝试了一些民间偏方,但都未能取得明显的效果。病情的持续恶化让她的精神几近崩溃,对未来失去了信心。
病例二
李阿姨,52岁,正值事业巅峰期,却被食管型颈椎病打乱了生活和工作的节奏。除了吞咽困难,还伴有颈部疼痛和僵硬,严重影响了工作效率。由于无法正常进食,体力和精力都大不如前,在竞争激烈的职场中逐渐力不从心。多次就医无果后,她感到无比的焦虑和无奈。
两位患者的命运在走进毕节市中医医院骨伤科后发生了转机。
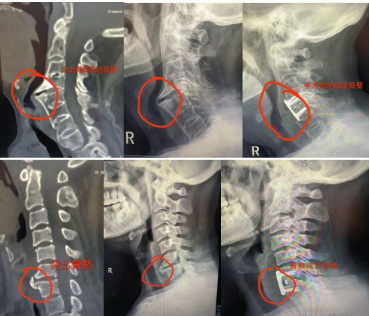
针对患者复杂的病情,骨伤科专家团队经过深入研讨和精心准备,为他们制定了个性化的手术方案,采用了颈椎前路减压植骨融合术(ACDF)这一先进的手术方法。手术当天,在经验丰富的主刀医生带领下,手术团队成员各司其职,配合默契。他们在高清显微镜的辅助下,小心翼翼地避开颈部复杂的血管和神经,精准地对病变的颈椎部位进行减压操作,去除了压迫食管的增生组织和椎间盘,随后植入精心挑选的骨移植材料,以促进颈椎的融合和稳定。整个手术过程如同一场精密的 “手术交响乐”,每个环节都紧密相连,有条不紊地进行着,充分展现了骨伤科团队精湛的医术。

值得一提的是,在整个诊断和手术过程中,医院高分辨率的 MRI 和 CT 扫描技术等高端设备如同医生的 “透视眼”,清晰地呈现出颈椎和食管的细微结构,为准确诊断病情和制定手术方案提供了坚实的依据,大大提高了手术的精准性和安全性,让医生们如虎添翼。
术后的恢复情况令人欣喜不已。王奶奶在术后不久,就能明显感觉到吞咽变得顺畅起来,曾经困扰她多年的异物感也消失得无影无踪。“我真的没想到,在毕节市中医医院做完手术,我的生活能有这么大的改变。以前吃饭对我来说是一种折磨,现在我又能像正常人一样了。感谢骨伤科的医生们,是他们给了我重新生活的勇气和信心。”看着她重新恢复食欲,大口品尝着美食,家人和医护人员都由衷地为她感到高兴。
“手术前,我对未来充满了恐惧和迷茫。但现在,我又能回到工作岗位上,继续追求我的事业梦想了。毕节市中医医院骨伤科的医术真是高超,而且医护人员的关怀和照顾也让我倍感温暖。我会好好康复,珍惜这来之不易的健康。”李阿姨手术后颈部疼痛和僵硬症状得到了显著缓解,吞咽功能的恢复让她的身体状况逐渐好转,工作和生活也重新步入正轨。
“食管型颈椎病治疗的复杂性不仅仅体现在颈椎与食管之间微妙的解剖关系上,更在于其治疗过程中需要兼顾颈椎的稳定性和食管功能的恢复,对医疗技术和团队协作提出了极高的要求。长期以来,许多患者在四处求医问药的过程中屡屡受挫,生活质量急剧下降,陷入绝望的深渊。”骨伤科主任陈晓介绍道。
毕节市中医医院骨伤科拥有一支由资深专家、优秀中青年骨干组成的专业团队,在颈椎病治疗领域一直以来都占据着重要的地位,他们不断在学术研究和临床实践中积累丰富的经验,学习掌握更多先进的治疗技术和方法。此次食管型颈椎病手术的成功,再次彰显了骨伤科在该领域的技术优势和专业实力。
问
食管型颈椎病的早期诊断有哪些关键要点?
答
食管型颈椎病的早期诊断确实具有一定的挑战性。关键在于医生要对患者的症状保持高度的敏感性,尤其是那些出现不明原因吞咽困难和咽喉部异物感的患者。除了详细询问病史和进行全面的体格检查外,影像学检查起着至关重要的作用。MRI 和 CT 扫描能够帮助我们清晰地观察颈椎的形态、椎间盘的退变情况以及食管与颈椎之间的关系,从而早期发现潜在的病变迹象。同时,我们也要注意与其他可能导致类似症状的食管疾病进行鉴别诊断,避免误诊和漏诊。
问
在手术治疗方面,如何确保手术的长期效果和患者的生活质量?
答
手术治疗食管型颈椎病的目标不仅仅是解除食管的压迫,更重要的是要恢复颈椎的稳定性和功能,从而保障患者的长期生活质量。在手术过程中,我们严格遵循精准、微创的原则,采用先进的手术技术和设备,确保手术操作的安全性和有效性。术后,我们会为患者制定个性化的康复方案,包括康复训练、定期随访等,密切关注患者的恢复情况,并及时调整治疗措施。同时,我们也注重对患者的健康教育,指导他们正确的生活方式和颈部保健方法,预防疾病的复发,从而实现长期的治疗效果和良好的生活质量。
问
未来颈椎病治疗的发展方向?
答
我们将继续发展和完善微创技术,减少手术创伤和并发症的发生。同时,基因治疗、干细胞治疗等新兴技术也可能为颈椎病的治疗带来新的突破。此外,多学科协作的模式将更加普及,整合骨科、康复科、神经科等多个学科的优势,为患者提供全方位、综合性的治疗服务,进一步提高颈椎病的治疗效果和患者的生活质量。
骨伤科简介
骨伤科作为贵州省重点专科、贵州省中医药大学附属医院医联体协作科室,是毕节市中医骨伤专业医疗质控中心挂靠科室。骨伤科以继承中医骨伤传统技术为特色,充分融合现代骨科医疗技术,以微创化治疗为核心,内外兼治,采用中西医联合方式为广大群众服务。现科室内设立脊柱组、创伤组等亚专业治疗组,明确精细化发展方向,更加专业的医疗组为广大群众服务。
脊柱组:中医整脊治疗颈肩腰腿痛,微创治疗脊柱骨折、骨质疏松性椎体骨折、脊椎间盘退行性病变。前后路联合治疗复杂脊柱骨折、骨折脱位等;手术治疗复杂间盘退变、椎管狭窄、椎体滑脱、脊柱结核、肿瘤等疾病,脊柱畸形矫形等。
创伤组:骨盆与四肢创伤骨折的诊治(微创为主),创伤后肩肘关节置换,骨折延迟愈合、骨不连、骨感染、钢板断裂、假体周围骨折的个体化治疗,断肢(指)再植,疤痕松解,各种创面的植皮、皮瓣修复,周围神经松解、吻合、移植、移位及肌腱转位肢体功能重建,手足畸形矫形等。
